• TECHNOLOGY
    • Peripheral Solutions
      • Impede
      • Impede-FX
      • Impede-FX RAPIDFILL
      • Trellix
    • Neurovascular Solutions
      • Trellix
    • Aortic Solutions
  • EVIDENCE
  • COMPANY
    • About the Company
    • Distributors
    • Careers
    • Compliance
    • Patents
  • NEWS & EVENTS
CONTACT
  • Select Your Region
    • USA
    • Japan
    • Europe
    • Middle East or Africa
    • Asia Pacific
    • Latin America
Shape Memory Medical – RoW Shape Memory Medical – RoW
  • TECHNOLOGY
    • Technology
      • Peripheral Solutions
        • Impede
        • Impede-FX
        • Impede-FX RAPIDFILL
        • Trellix
      • Neurovascular Solutions
        • Trellix
  • CLINICAL TRIALS
    • AAA-SHAPE EFS
    • AAA-SHAPE RCT
    • Flagship
  • EVIDENCE
    • Publications
    • Registries & Studies
    • Case Studies
  • Company
    • News & Events
    • Editorial Publications
    • COMPANY
      • Distributors
      • Careers
      • Compliance
      • Patents
CONTACT
Shape Memory Medical – RoW

The science of smart polymer

All Shape Memory Medical treatment solutions feature our smart polymer technology.

The sponge-like design of shape memory polymer products use a high-surface area porous design that expands and conforms to effectively fill and occlude. The polymer stimulates the natural immune response and healing process, leading to cellular growth as the polymer degrades, without chronic inflammation.*

*Evidence from pre-clinical studies

Porous structure of shape memory polymer

Porous Matrix

Proprietary, low density, highly porous polyurethane foam
IMPEDE-FX crimped and expanded images

Shape Memory

Crimped for low profile delivery, expands upon exposure to heat and moisture
Stable clot formation

Stable Clot Formation

Small, interconnected clots rapidly form throughout the porous matrix design
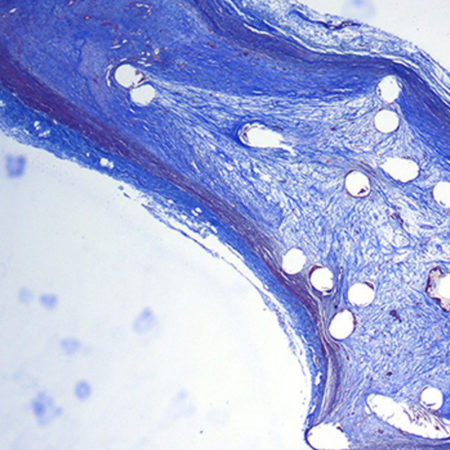
Cellular image

Activates Healing Process

Forms healthy, new cellular growth as the material is absorbed
Magnified histology image

Activates Healing Process

Collagen infiltration from the surface inward
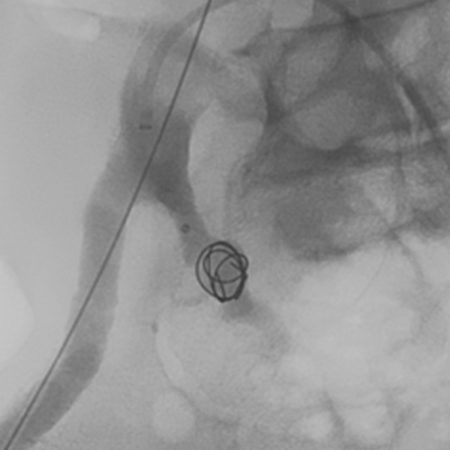
IMPEDE-FX Embolization Plug

Soft and Compliant

Expands and conforms to the anatomy with minimal radial force
Peripheral embolization

Radiolucent, Minimal Artifact

Facilitates visibility during and after the procedure
Porous structure of shape memory polymer

Porous Matrix

Proprietary, low density, highly porous polyurethane foam
IMPEDE-FX crimped and expanded images

Shape Memory

Crimped for low profile delivery, expands upon exposure to heat and moisture
Stable clot formation

Stable Clot Formation

Small, interconnected clots rapidly form throughout the porous matrix design
Cellular image

Activates Healing Process

Forms healthy, new cellular growth as the material is absorbed
Magnified histology image

Activates Healing Process

Collagen infiltration from the surface inward
IMPEDE-FX Embolization Plug

Soft and Compliant

Expands and conforms to the anatomy with minimal radial force
Peripheral embolization

Radiolucent, Minimal Artifact

Facilitates visibility during and after the procedure

Watch product animations

IMPEDE
Embolization Plug

IMPEDE animation

TrelliX
Embolic Coil

TrelliX Animation

Our solutions


PERIPHERAL SOLUTIONS

Our portfolio of embolic plugs and coils all have smart polymer in common. Whether your case calls for high volume filling with the IMPEDE Embolization Plug family, or for selective embolization with the microcatheter-compatible TrelliX Embolic Coil, you can achieve a stable occlusion with less metal, less radial force, and less imaging artifact.

SEE PERIPHERAL SOLUTIONS
IMPEDE icon
IMPEDE-FX icon
IMPEDE-FX Rapidfill icon
tech_icon_peri_trellix-3
Peripheral embolization

NEUROVASCULAR SOLUTIONS

Constructed primarily of our smart polymer, the TrelliX Embolic Coil offers greater volume filling with less metal compared to traditional neurovascular coils. The radiolucent smart polymer restores unprecedented visibility within the target lesion and of surrounding anatomy, improving confidence in peri and post-operative imaging.

SEE NEUROVASCULAR SOLUTIONS
tech_icon_neuro_trellix-3
Peripheral and neurovascular embolization with Trellix
Shape Memory Medical logo white
Follow us

Careers
Complaints
Compliance
Distributors
Patents
Patient Information
Portal
Privacy

Address
1321 Ridder Park Drive, Suite 10
San Jose, CA 95131

Telephone & Contact
+1 408 649 5175
info@shapemem.com

©2026 Shape Memory Medical
All Rights Reserved
LIT1099 Rev K

Cookies To make this site work properly, we sometimes place small data files called cookies on your device. To continue using this web site, click the Accept button or the Change Settings button for more options.
Accept
Change Settings
Cookie Box Settings
Cookie Box Settings

Privacy settings

Decide which cookies you want to allow. You can change these settings at any time. However, this can result in some functions no longer being available. For information on deleting the cookies, please consult your browser’s help function. Learn more about the cookies we use.

With the slider, you can enable or disable different types of cookies:

  • Block all
  • Essential
  • Functionality
  • Analytics
  • Advertising

This website will:

This website won't:

This website will:

  • Essential: Remember your cookie permission setting
  • Essential: Allow session cookies
  • Essential: Gather information you input into a contact forms, newsletter and other forms across all pages

This website won't:

  • Remember your login details
  • Functionality: Remember social media settings
  • Functionality: Remember selected region and country
  • Analytics: Keep track of your visited pages and interaction taken
  • Analytics: Keep track about your location and region based on your IP number
  • Analytics: Keep track of the time spent on each page
  • Analytics: Increase the data quality of the statistics functions
  • Advertising: Tailor information and advertising to your interests based on e.g. the content you have visited before. (Currently we do not use targeting or targeting cookies.
  • Advertising: Gather personally identifiable information such as name and location

This website will:

  • Essential: Remember your cookie permission setting
  • Essential: Allow session cookies
  • Essential: Gather information you input into a contact forms, newsletter and other forms across all pages
  • Essential: Keep track of what you input in a shopping cart
  • Essential: Authenticate that you are logged into your user account
  • Essential: Remember language version you selected
  • Functionality: Remember social media settings
  • Functionality: Remember selected region and country

This website won't:

  • Remember your login details
  • Analytics: Keep track of your visited pages and interaction taken
  • Analytics: Keep track about your location and region based on your IP number
  • Analytics: Keep track of the time spent on each page
  • Analytics: Increase the data quality of the statistics functions
  • Advertising: Tailor information and advertising to your interests based on e.g. the content you have visited before. (Currently we do not use targeting or targeting cookies.
  • Advertising: Gather personally identifiable information such as name and location

This website will:

  • Essential: Remember your cookie permission setting
  • Essential: Allow session cookies
  • Essential: Gather information you input into a contact forms, newsletter and other forms across all pages
  • Essential: Keep track of what you input in a shopping cart
  • Essential: Authenticate that you are logged into your user account
  • Essential: Remember language version you selected
  • Functionality: Remember social media settings
  • Functionality: Remember selected region and country
  • Analytics: Keep track of your visited pages and interaction taken
  • Analytics: Keep track about your location and region based on your IP number
  • Analytics: Keep track of the time spent on each page
  • Analytics: Increase the data quality of the statistics functions

This website won't:

  • Remember your login details
  • Advertising: Use information for tailored advertising with third parties
  • Advertising: Allow you to connect to social sites
  • Advertising: Identify device you are using
  • Advertising: Gather personally identifiable information such as name and location

This website will:

  • Essential: Remember your cookie permission setting
  • Essential: Allow session cookies
  • Essential: Gather information you input into a contact forms, newsletter and other forms across all pages
  • Essential: Keep track of what you input in a shopping cart
  • Essential: Authenticate that you are logged into your user account
  • Essential: Remember language version you selected
  • Functionality: Remember social media settings
  • Functionality: Remember selected region and country
  • Analytics: Keep track of your visited pages and interaction taken
  • Analytics: Keep track about your location and region based on your IP number
  • Analytics: Keep track of the time spent on each page
  • Analytics: Increase the data quality of the statistics functions
  • Advertising: Use information for tailored advertising with third parties
  • Advertising: Allow you to connect to social sitesl Advertising: Identify device you are using
  • Advertising: Gather personally identifiable information such as name and location

This website won't:

  • Remember your login details
Save & Close